Nội dung bạn đang tìm kiếm không có phiên bản tiếng Việt.
Vui lòng chọn tiếp tục để xem nội dung tiếng Anh hoặc đi đến trang chủ Tiếng Việt.
Rất xin lỗi về sự bất tiện này.
Oncology
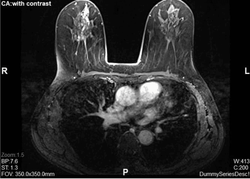
Spectacular journey: Resection of a 5cm giant breast tumor through a 3mm incision
Spectacular journey: Resection of a 5cm giant breast tumor through a 3mm incision
View more
Breast cancer detected only due to nipple discharge
The final results determined that the patient had ductal carcinoma in situ - a type of breast cancer that is still localized within the duct.
View more
Latest articles
What is the life expectancy for patients with esophageal cancer?
Esophageal cancer is a malignant disease with a high risk of death because it is often diagnosed at later stages. However, if detected early, the 5-year survival rate is greatly improved. If you wonder how long a patient with esophageal cancer can live, please read the information below.
View more
Can Ultrasound Detect Stomach Cancer?
Ultrasound is a common diagnostic imaging technique used to detect a wide range of diseases, including cancer. So, can an ultrasound detect stomach cancer?
View more
Signs of shoulder bone cancer
Shoulder bone cancer is often difficult to detect. Therefore, recognizing the signs of shoulder bone cancer in the early stages is very important for timely detection and treatment of the disease.
View more
Which type of cancer has the lowest survival rate?
The survival rate for cancer depends greatly on the type of cancer and the time of diagnosis. Among the six deadliest cancers, do you know which one tops the list?
View more
Should cancer patients drink coconut water?
Coconut water contains less sugar and sodium than other sports drinks but has high potassium, calcium and chloride content, helping to supplement and increase the body's energy level for cancer patients with optimal energy.
View more
Frequent Feeling of Throat Obstruction: Be Alert to Esophageal Cancer
The sensation of a lump in the throat, difficulty breathing, or swallowing are common symptoms that can significantly affect daily life and health. These symptoms may indicate esophageal cancer or other health issues.
View more
Which food should patients with begin thyroid nodules avoid?
Benign thyroid nodules is a common endocrine disease, especially in women. Besides medical adherence, dietary regimen plays an important role in supporting medical treatment. Hence, patients should know which types of food must be avoided in order to build a suitable diet and facilitate treatment.
View more
Boils on the Thigh: What You Need to Know
Boils on the thigh are a common skin infection caused by the bacterium Staphylococcus aureus. Most boils will resolve within a few weeks without complications. However, if the boil on the thigh persists or recurs, you should see a doctor for timely treatment.
View more