When is a Transvaginal Ultrasound Needed?

Table of content

Article reviewed by Trinh Thi Thanh Huyen, MSc, MD - Obstetrician and Gynecologist - Obstetrics and Gynecology Department - Vinmec Hai Phong International General Hospital

A transvaginal ultrasound provides detailed imaging of the internal structures within the vaginal walls, helping detect abnormalities and diagnose potential medical conditions in a timely manner.

1. What is a Transvaginal Ultrasound?

A transvaginal ultrasound is a commonly used gynecological examination (pelvic ultrasound) recommended by specialists for women who are married or have been sexually active. This procedure assists doctors in assessing the physiological and reproductive health of women.

This method utilizes high-frequency sound waves transmitted through the vaginal canal to generate highly detailed and accurate images. The doctor uses a small, rounded probe (approximately 2 to 3 inches in diameter) that is inserted into the vagina to capture internal images and evaluate the patient’s health.

Given that this procedure involves inserting an instrument into a sensitive area, many women may wonder whether transvaginal ultrasound is harmful. In reality, transvaginal ultrasound is performed by experienced obstetricians and gynecologists. During the procedure, the doctor gently moves the probe around the vaginal walls, which does not affect the uterus or cervix. As a result, transvaginal ultrasound is safe and painless, though it may cause mild discomfort.

Illustrative image of a transvaginal ultrasound
Illustrative image of a transvaginal ultrasound

2. What Conditions Can a Transvaginal Ultrasound Detect?

A transvaginal ultrasound is indicated when the physician suspects abnormalities in the patient’s body and needs a detailed examination of the uterus, ovaries, fallopian tubes and cervix. It is also used to assess ovulation, follicular development and endometrial thickness.

For pregnant women, a transvaginal ultrasound helps to:

•    Determine the exact location of the pregnancy at 4-5 weeks of gestation, enabling early detection of ectopic pregnancies. This prevents severe complications such as ruptured ectopic pregnancy, intra-abdominal infection and fallopian tube rupture, which may not be detectable via abdominal ultrasound.
•    Evaluate fetal heart activity at 6-8 weeks of gestation. If no fetal heartbeat is detected at this stage, it may indicate pregnancy failure.
•    Identify the number of fetuses and determine whether they are monozygotic or dizygotic.
•    In cases where the fetus has grown larger and its head is positioned downward, obstructing the ultrasound waves and leading the doctor to suspect placenta previa, a transvaginal ultrasound will also be performed to determine the exact location of the placenta.

A transvaginal ultrasound can also aid in diagnosing gynecological conditions such as:

•    Ovarian cysts: A common condition in women that often presents without noticeable symptoms. Routine gynecological ultrasound screenings are essential for early detection.
•    Uterine fibroids: These are small, benign tumors developing from the uterine muscle layer. Transvaginal ultrasound helps assess the condition and size of fibroids. This condition is more common in women aged 30-50 and those of reproductive age.
•    Uterine cancer: Cancerous cells may develop inside the uterus without noticeable symptoms. Regular gynecological ultrasounds can help detect uterine cancer early or when abnormalities arise.
•    Fallopian tube obstruction: Transvaginal ultrasound can identify blockage sites and guide appropriate treatment. It can detect obstructions when there is fluid accumulation, pus, or inflammation leading to tubal enlargement.

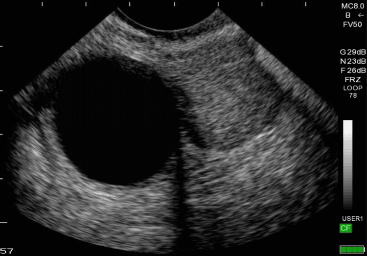
Ultrasound image of an ovarian cyst
Ultrasound image of an ovarian cyst

3. When Should You Get a Transvaginal Ultrasound?

Since transvaginal ultrasound provides detailed insights into abnormalities of the uterus, ovaries, fallopian tubes, and cervix, it is recommended when experiencing the following symptoms:

•    Frequent pelvic or lower abdominal pain many times a day.
•    Suspicion of ovarian cysts or uterine fibroids.
•    Irregular menstrual cycles.
•    Unexplained vaginal bleeding between menstrual cycles.
•    Abnormal vaginal bleeding during pregnancy.
•    Pain during intercourse.
•    Abnormal vaginal discharge with unusual color, excessive quantity, or foul odor.
•    Vaginal itching or dryness.

Additionally, a transvaginal ultrasound may be necessary for:

•    Monitoring fetal heart rate.
•    Checking the position of an intrauterine contraceptive device (IUD).
•    Evaluating pelvic health.
•    Assessing reproductive health.

Note: Depending on the doctor’s instructions and the purpose of the ultrasound, the bladder may need to be either empty or full. A full bladder enhances ultrasound imaging clarity of pelvic organs.

•    If instructed to empty the bladder, the patient should urinate before the procedure.
•    If a full bladder is required, the patient should drink plenty of water about 30 minutes before the ultrasound.
•    If undergoing the procedure during menstruation, any tampon should be removed before the ultrasound.

Women should undergo regular reproductive health check-ups every 3 to 6 months
Women should undergo regular reproductive health check-ups every 3 to 6 months

To arrange an appointment, please call HOTLINE or make your reservation directly HERE. You may also download the MyVinmec app to schedule appointments faster and manage your reservations more conveniently.

To arrange an appointment, please call HOTLINE or make your reservation directly HERE. You may also download the MyVinmec app to schedule appointments faster and manage your reservations more conveniently.

Share
Patients Stories