Should cavitated molars be extracted?

Table of content

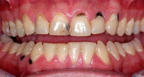
Cavitated molars represent a condition that can affect both children and adults. This not only complicates the processes of mastication and deglutition but also has aesthetic implications. Furthermore, tooth decay can lead to severe complications for the patient. Therefore, is it advisable to extract a carious molar?

1. The role of molars

A molar comprises two components: the crown (which is visually observable) and the root, located within the alveolar bone (not visible). An adult typically possesses a total of 32 teeth, encompassing four different types. Among these, 16 to 20 teeth are classified as molars, symmetrically arranged between the maxilla and mandible.

•    Small Molars: Positioned as numbers 4 and 5 from the anterior teeth.  
•    Large Molars: Situated at the distal end, adjacent to the small molars, at positions 6 and 7.  
•    Wisdom Teeth: Represented as the eighth tooth, which generally erupts during early adulthood (ages 17 to 25).  

Molars play a critical role in the mastication and grinding of food. This is also why molars are susceptible to caries if oral hygiene is inadequate. Additionally, due to their posterior location, carious lesions in molars often go undetected until they have progressed significantly without clinical examination.

In the initial stages, the dental enamel gradually deteriorates, or brown streaks appear on the surface. However, at this stage, the patient may not experience discomfort or pain. Only when the caries has progressed, leading to overt symptoms such as hypersensitivity, throbbing pain, or infection, does the condition become critical.

2. What to Do When Experiencing Cavitated Molars? 

Cavitated molars significantly affect aesthetics, health, and the patient's quality of life. The condition of carious molars occurs not only in children but also poses a concern for many adults. Carious teeth trap food debris, leading to discomfort for the patient. Additionally, the loss of enamel reduces the masticatory force, complicating the consumption of fibrous and hard foods. Moreover, if a carious molar is not treated promptly, the decay can quickly progress to adjacent teeth.

Therefore, the best course of action upon detecting signs indicative of a carious molar is to seek evaluation from a dental professional specialized in oral and maxillofacial health to accurately determine the condition and receive appropriate recommendations tailored to each unique case.

3. When to Extract a Carious Molar?  

The question of whether to extract a carious molar is one frequently posed by patients. Each case possesses distinct features and treatment methodologies. Furthermore, dental caries is categorically divided into several specific stages. To adequately respond to this inquiry, a thorough examination and diagnosis are imperative.

3.1. Preservation of Cavitated Molars  

Currently, rather than extracting a carious molar, many practitioners prioritize the preservation of the tooth. Molar decay can often be preserved effectively when it is in a mild state, impacting minimally on the root structure.

•    If the caries is restricted to the enamel, the dentist will perform cleaning, restoration, or filling procedures to completely address the issue.  
•    If the caries extend into the pulp without affecting the root apex and the dentin remains intact, root canal treatment followed by restoration may be performed. Additionally, crown restoration is a commonly explored option among patients seeking to preserve the tooth.

However, carious molars can relapse at any time, and the tooth may exhibit increased sensitivity for a brief period. Therefore, following successful treatment, meticulous oral hygiene and care must be maintained daily. It is particularly essential to exercise caution while chewing food; hard foods should be avoided, favoring instead softer, easily chewable, and digestible options.

3.2. Extraction of Cavitated Molars  

If tooth preservation is not viable, dental specialists will proceed with extraction. This intervention is carried out when the inflammatory state of the decay is irreversible. In cases such as extensive root caries, periodontal involvement, or impacted wisdom teeth, where the condition poses a risk to adjacently positioned teeth, the entire carious molar may need to be extracted.

Many patients express fear of pain and are often reluctant to undergo extraction of a carious molar. However, attempting to retain the tooth may lead to increased accumulation of plaque and trapped food, resulting in halitosis and hindering oral hygiene efforts. More dangerously, this can cause alveolar osteitis, a form of infection characterized by swelling, redness, accompanied by fever and pain. The most severe complication is bacteremia, which may be fatal if not treated promptly.

4. Is the extraction of a decayed molar painful?  

With the advanced techniques currently available, the extraction of a decayed molar is not painful and does not impact the nerve as many individuals might assume. Prior to the extraction, the dentist will conduct a comprehensive examination, and if necessary, will perform radiographic imaging or other diagnostic tests.  

In addition, due to the effects of local anesthesia, patients will not experience pain or discomfort during the dental treatment of the decayed molar. After the extraction and removal of any pathological tissue around the apex, the patient will be instructed to firmly bite down on a gauze for approximately 30 minutes to 1 hour to control bleeding. Subsequently, the patient only needs to return home to take prescribed medications and follow the dentist's oral care instructions.  

Nevertheless, following the extraction of a decayed molar, patients may have to contend with consequences such as reduced masticatory function, malocclusion, and complications related to bone resorption in the molar area. For these reasons, dentists often advise patients to consider restorative options for the molar following extraction. Among the frequently selected methods are dental crowns and dental implants.  
Having acquired basic knowledge about the extraction of a decayed molar, it is advisable to visit a specialized Oral and Maxillofacial clinic for proper evaluation and appropriate recommendations by a dentist.  

To arrange an appointment, please call HOTLINE or make your reservation directly HERE. You may also download the MyVinmec app to schedule appointments faster and manage your reservations more conveniently.

Share
Patients Stories